Central Laboratory Facility
The Central Laboratory Facility at MDRF is a hub of cutting-edge technology, designed to support advanced research in diabetes and related biomedical sciences. Built to foster innovation and collaboration, our facility offers seamless access to a wide range of high-end instrumentation and expert support for researchers and clinicians.
Confocal Microscope Facility
Our central instrumentation lab houses a state of the art Confocal microscope facility. Equipped with optimized, user friendly hardware and software, this system delivers excellent confocal images and image stacks, especially in fluorescence applications. The system is equipped to study intracellular localization, protein-protein interactions, FRET, FRAP and many more cell biology applications.




Cloning Facility
The MDRF has a fully equipped laboratory dedicated to gene cloning studies. The state of the art facility focuses on simple sub cloning to site-directed mutagenesis in bacterial and mammalian systems. The facility offers services including gene characterization, cloning and expression.
ABI 310 Gene Sequencer
ABI 310 Gene Sequencer automated single-capillary genetic analyzer for sequencing and fragment analysis applications. This is the gold standard instrument for finding novel gene variants.
Sequencing detecting system
Sequencing detecting system (RT-PCR) for allele discrimination assays and for gene expression studies
ABI 310 Gene Sequencer
Sequencing detecting system
Central Instrumentation Facility
The central instrumentation facility is located in the basement of the MDRF. The facility is equipped with the newer and more sophisticated instruments pertinent to the area of cellular, molecular and biochemical research complementing the basic instruments integral to cellular, molecular and biochemical research.
Micro Array Core Facility
Micro array Core Facility is equipped with state-of-the-art molecular profiling technology to meet the demands of high-throughput SNP analysis and expression patterns of thousands of genes in parallel. Our goal is to apply innovative technology and revolutionary assays towards the analysis of the genetics of diabetes.
Sequenom MassARRAY Facility
Equipment: MassARRAY Compact System, GeneAmp PCR System 9700, MassARRAY Nanodispenser Description: Sequenom MassARRAY – a high-throughput platform for SNP genotyping, DNA methylation, and gene expression analysis.
Scintillation Counter
The Radioisotope facility at the MDRF is equipped with a radioisotope hood, GM counter (ECI), Liquid scintillation counter (Beckmann), gel electrophoresis unit (Broviga), gel transfer unit (Broviga), Isotope storage facilities and disposal facilities. Presently, radioisotope laboratory caters extensively for end point readout assays such as glucose uptake, palmitate uptake, thymidine uptake, and glycogen synthase activity measurements. Apart from end-point read out arrays Radioimmunoassay (RIA) and Electrophoretic Mobility Shift Assay (EMSA) measurements are also done in the facility.
Tissue culture facility
The Cellular and Molecular Biology (CMB) department has a lab dedicated for tissue culture work. This facility serves as a training lab for tissue culture course work, tissue culture experiments carried out by students involved in research and faculty research projects. Much of the equipment in the tissue culture facility was procured through the FIST (Fund for Infrastructure in Science and Technology) grant awarded to Dr. M. Balasubramanyam in 2003. The lab was renovated in 2008 when the facility was moved to Siruseri.
The facility is equipped to grow mammalian cells. Equipment at the facility include flowhoods, culture incubators, cell counter, inverted phase contrast microscope, primary cultures and cultivation of established cell lines, and human tissues. The aim is to maintain the highest standards, to teach and assist students and researchers in both intra and inter departmental research from within our department and to facilitate collaborative research. The Cell/Tissue Culture Core provides investigators belonging to the institute and their team member with training and updates on the newest techniques in cell/ tissue culture, assistance with experimental design, and facilitating procurement of specific cell lines, organs and tissues. The Cell/Tissue Culture Core provides Core Investigators and coworkers with:
- Basic training in culturing and studying cells and tissues
- Training in cell cloning, preparation of irradiated feeder layers, suspension and reaggregate cultures
- Strategic advice in planning experiments and determining their feasibility
- Cell culture facilities and specialized equipment such as biohazard hoods needed for culture experiments with toxic agents,
- Facilities to process human tissues
- Target cell lines, especially primary cultures of myoblasts, retinal endothelial cells
- Backup storage of valuable lines derived during this work,
- Development of new cell, tissue culture techniques and
- Direction to appropriate local experts for specialized consultations. In addition, the Cell/Tissue Culture Core serves as a seedbed for developing new ideas, matching collaborators and facilitating communication among its users.

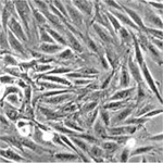
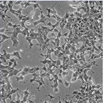
Muscle cells

Adipocytes

Pancreatic b-cells
Usage and Benefits
The Tissue Culture Laboratory is administered by Dr. M. Balasubramanyam. Training for research fellows and summer project for college students and training programs for research fellows from collaborating institutes is provided throughout the year. On the average, 8 PhD students, 11 staff members and 2 undergraduates per year use the facility.
Food Quality Analysis Laboratory
Established in June 2009, the Food Quality Analysis Lab at MDRF’s FNDR Department specializes in advanced nutritional and biochemical analysis. Staffed by expert scientists and technicians, the lab is equipped to assess moisture, protein, starch, fiber, vitamins, polyphenols, and more. It also supports research in food microstructure, processing, and analytical method development.
Facility
Biobanking
The Biobanking Facility at MDRF plays a vital role in supporting research on diabetes and its complications by securely storing biological samples. With 17 ultra-low temperature freezers, the facility houses over 75,000 blood samples, 10,000 serum samples, 16,000 genetic samples, and 5,000 urine samples. All collections strictly follow ethical protocols and informed consent, ensuring the highest standards of biospecimen management.
Library
The Library at the MDRF offers extensive reading material with a total of 63 Journal and 1061 Books on all aspects of diabetes and its complications and disciplines closely related to the fields. Online browsing and computer facilities are also available to all users.